部分腹内疝的CT诊断
一、腹内疝的定义
疝是人体正常的组织或脏器通过潜在的腔隙或薄弱区域,由原来的部位移位到其他的部位。而腹内疝属于疝中的一种,是肠管或少数腹腔内脏器官或组织通过腹膜或肠系膜的正常或异常的孔道、裂隙,离开原有位置而进入腹腔内的某一解剖间隙,从而形成腹内疝。
由于近端肠管的蠕动,致疝入该间隙的肠管不断增加,使该间隙形成一个充满肠管的封闭囊腔,受该囊腔的宽松度、疝囊口的大小及疝入肠管的多少,可以造成疝入肠管内容物的不断增加。但该囊腔并无一实际的包膜,肠管在疝囊口部受压,从而使疝囊内肠管发生绞窄,这就是造成本病临床出现危重病情的关键所在。
二、部分腹内疝影像学表现
1 右侧十二指肠旁疝(PDH)
Waldeyer陷窝进入肠管为多,它是位于SMA后方和十二指肠降段下方,为空肠系膜起始部的缺损,与胚胎发育时中肠旋转异常有关。CT示右中腹囊状团块,进入疝囊肠管扩张充液,而肠系膜血管及分支则位于疝囊内后侧,且受推压。

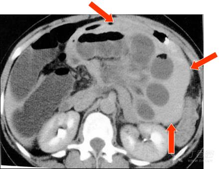
2 左侧十二指肠旁疝的CT表现
CT特征为左上中腹一堆互相拥挤的小肠聚集于一异常囊袋样肿物内,其内肠管显示扩张、通常以积液为主,肠管位于Treitz韧带左侧,在胃和胰之间,远段小肠和横结肠在其下方。供应疝囊内小肠的血管扩张、聚集、拉直伸展入疝囊内。疝囊颈的前界可显示肠系膜下静脉和左结肠动脉。远侧肠管正常或萎陷。

3 经肠系膜裂孔疝:transmesenteric hernia (TMH)
肠系膜是起自Treitz韧带处,而止于回盲区的扇形腹膜折迭组织,肠系膜裂孔绝大多数为先天发育缺陷。裂孔的缺损大部在2~5 cm之间,疝入肠管多发生在回盲瓣以上50 cm处,故疝入肠管以回肠为主,占87%,易发生肠扭转。结肠疝入者也见诸于文献,约占9%。疝入的肠管60%发生绞窄。
临床上TMH和经大网膜裂孔疝表现近似,发病率约占8%,TMH可分先天发育缺陷和获得性两种,70%发病在15岁以内,但平均年龄在50岁以上,说明老年人也是高发病人群,后者可因创伤、手术和炎症所致。男女之比约为1∶2,视裂孔大小,临床可出现疝入肠管退出情况,表现为反复发作的慢性过程,但大部份仍为急性肠梗阻甚至发生肠绞窄。
由于从裂孔疝出后并无一限制的疝囊,表现同于一般闭襻型肠梗阻,视裂孔大小,疝入肠管绞窄的严重性可能较之一般疝入陷窝者更甚。由于发生裂孔位置不定,又多在其游离缘,故无恒定的腹部CT定位,所以判断进入疝囊内拥挤、扩张的闭攀肠管及受绞窄增粗、聚集的肠系膜血管非常重要。

急性腹痛,有腹部手术史。 手术诊断: 经肠系膜裂孔疝。
4 网膜孔疝foramen of Winslow hernia (Winslow疝 )
网膜孔疝是指腹腔内脏器经网膜孔疝入小网膜囊,病因多为网膜孔扩大,肠系膜过长或升结肠系膜残存而致的肠襻活动度过大,诱因多为腹内压改变(如分娩、排便等)。 –网膜孔疝占腹内疝的8%,20~60岁患者多见,疝内容物一般是小肠(60%~70%),其次是回肠末端、盲肠和升结肠(25%~30%)。极少数是横结肠、网膜和胆囊。体征可伴有黄疸或腹部肿块。
网膜孔疝的CT表现:网膜囊内见朝向网膜孔的鸟嘴状充液气肠管积聚,绞窄时有腹液; –肠系膜血管拉直、进入,胃受压前移; –若盲、升结肠疝入,则右腹外侧区不再显示; –与左侧十二指肠旁疝鉴别 ,前者疝入点相对较高,位肝门后方。

首次检查图像 1小时后复查,疝囊内肠管扩张明显,囊内积血(红箭),CT值高,示缺血严重。
5 盲肠周围疝
PCH临床见于任何年龄,平均约50岁,男∶女约2∶1,诊断困难,或仅同于一般肠梗阻,慢性者又与回盲部炎性病变相似,病情允许可做钡餐或钡灌肠,有助诊断。
盲肠周围疝的CT表现:
疝入肠管多为回肠,挤塞于右髂窝盲肠后面和外侧,肠管内以充满液体为主,疝入肠管聚集于隐窝或旁沟内,受一无形囊袋限制,其内系膜水肿、系膜血管增粗聚拢,并有向疝内伸展趋势,紧接疝囊口处的肠管偶可见鸟嘴状狭窄,盲肠前内方推移。

6、直肠子宫陷窝疝hernia through the rectal fossa
直肠子宫陷窝(Douglas陷窝)是腹膜在子宫和直肠处的反折,其深度变化很大;子宫直肠陷窝过深可导致内疝发生,此被认为是先天性或手术所致。 CT表现直肠子宫陷窝处一簇聚集小肠疝入,其近段肠管可见明显扩张、积液。
三、腹内疝的CT诊断特点
1.闭襻型肠梗阻 : 腹内疝是典型的闭襻型肠梗阻,因此必须掌握闭襻型肠梗阻的CT表现,肠管多呈“C”字形、“花瓣形”或“咖啡豆”征排列, CT能追踪闭襻的走向和其表现。
2.肠系膜及其血管绞窄: 疝囊口部的大小、松紧是决定肠系膜及其血管绞窄的关键,也是本症病理基础的关键,CT可显示其独特表现。肠系膜可呈云雾状密度增高,系膜血管扩张、牵拉、移位。
3.腹内疝发生的特定部位 : 有以上两项基础表现,结合各型腹内疝局限性的发病部位,疝内肠管聚集方向,周围相邻器官受推移表现,不难作出判断。
4.疝口邻近肠管:梗阻近段肠管扩张积气、积液,远段肠管相对萎陷。腹腔可伴有少量积液。
5.绞窄性肠梗阻征象:除以上征象外,增强扫描肠系膜血管闭塞时不强化或强化密度不一;肠壁缺血呈强化不均、弱强化、延迟强化或不强化;肠壁间积气、肠系膜静脉和(或)门静脉气栓时提示肠坏死;肠系膜积气和(或)气腹,提示肠坏死穿孔;腹水测得CT值超过25Hu,常视为血性腹水。
四、CT对腹内疝的诊断价值
1.MSCT应用以来,较传统方法检查急腹症更快速、安全、准确、简便。横轴位结合冠、矢状位重组图像对腹内疝的诊断更具重要价值。
2.对以往临床及 X线诊断困难的腹内疝患者,可以从解剖位置、病情严重程度等方面作出比较明确的诊断,为腹内疝的检出、诊断和鉴别诊断提供了新的依据,以方便临床治疗方案的选择。
3. 除传统腹内疝以外,对临床诊断困难的系带粘连形成的内疝,能提供手术前诊断依据。
放射科:魏薇
指导老师:刘晖
2018年8月21日
- 上一条:影像科新技术临床应用周刊第3季
- 下一条:影像科新技术临床应用周刊第3季
- 影像科 新技术临床应用周刊第9季 2024-01-23
- 影像科 新技术临床应用周刊第8季 2023-12-21
- 影像科 新技术临床应用周刊第8季 2023-11-13
- 影像科 新技术临床应用周刊第8季 2023-10-17
- 影像科 新技术临床应用周刊第8季 2023-09-11









