2016年6月1日下午,西安高新医院心二内科成功开展了急性肺动脉栓塞介入手术抽栓、碎栓、药物溶栓治疗1例,该手术为医院首次开展的一项治疗抢救急性肺动脉栓塞患者的新技术。
肺动脉血栓栓塞是体静脉和右心系统血栓栓子堵塞肺动脉引起肺循环障碍的临床和病理生理综合症,是发病率、病死率高的危重心肺疾病。肺动脉栓塞在美国的患病率约为0.5~1.0/1000人,年发病数为630 000人,其中约2/3为 DVT,1/3为肺栓塞。每年新发肺栓塞患者约200 000人,是第三位常见的急性心血管病。年死亡约50 000人,死亡率仅次肿瘤和心肌梗死。有症状的肺栓塞患者约10%死在症状发生后1小时内,2周病死率为10%,1年为25%。5%~10%急性肺栓塞患者来院时血流动力学不稳定,其死亡率为25%。此类患者的抢救关键在于早期诊断、及时溶栓、改善肺循环,避免右心衰发生。
西安高新医院心内二科吕强副主任医师通过长期对肺动脉栓塞患者的观察治疗,在早期诊断及治疗方面积累了丰富的经验和资料,曾在临床心电学杂志发表临床研究论文《心电图对急性肺动脉栓塞早期诊断的价值》。本例患者的成功抢救,正是得益于急性肺动脉栓塞的早期快速确诊,及时有效治疗。
患者,女性,62岁,曾从事油漆工工作,工作有长时间站立、下蹲特点。因活动后胸闷、气短、呼吸困难3日,加重1日主诉入院,入院后经心内二科张晓锋主任、吕强副主任医师仔细分析患者症状及心电图、血气分析后,肺动脉CTA检查迅速明确诊断,确定该患者介入手术适应证,预计会有较好的疗效。在充分与患者及家属沟通,同意肺动脉造影及抽栓、碎栓、药物溶栓手术治疗。吕强副主任医师、张晓锋主任医师、潘立栋医师、邵玉玲主管护师、车晓伟技师组成的手术小组在经历一个多小时紧张而有条不紊的操作后,顺利完成了肺动脉血栓抽栓、碎栓、药物溶栓抢救。患者术后取得了立竿见影的效果,胸闷、气短、呼吸困难明显减轻,次日复查动脉血气分析氧分压明显改善,目前患者恢复良好。

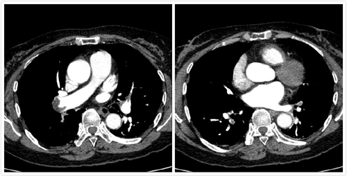
△ 溶栓前

△ 溶栓后
该手术的成功开展,不仅使患者低氧、休克症状快速缓解、生命得到救治,为急性肺动脉栓塞合并有休克、循环衰竭的重症患者抢救提供了新的方法和思路。同时,也标志着西安高新医院心内科在治疗抢救急性肺动脉栓塞的方法取得了创新性的突破,为该项新技术的进一步开展积累了临床经验,使医院在肺动脉栓塞抢救领域达到了省内较高水平。西安高新医院心内二科将以此为契机,不断提高急性肺动脉栓塞的早期确诊水平和救治成功率,为更多的此类危重患者带来福音
- 2023年第四季度高新医院心衰中心质量分析会 2023-12-28
- 2023年第四季度高新医院胸痛中心质量分析会 2023-12-28
- 中国心梗日、心衰日义诊活动 2023-11-30
- 世界心脏日——西安高新医院开展“相知用心”义诊活动 2023-09-28
- 关爱生命 救在身边 2023-06-12









