MRI在大血管疾病检查中的应用
李恒
磁共振血管成像已经成为MR检查的常规技术之一,与DSA相比具有无创、简便、费用低、一般无需对比剂等优点。
MRA技术原理及其临床应用
一、 时间飞跃法MRA(time of flight,TOF)
是临床上应用最广泛的MRA方法,该技术基于血流的流入增强效应。该
技术一般采用TR较短快速扰相GRE T1WI序列进行采集,成像容积或层面内的静止组织被反复激发而处于饱和状态,磁化矢量很小,反而抑制了静止的背景组织;而成像容积之外的血液没有受到射频脉冲的饱和,当血液流入成像容积或层面时就具有较高的信号,与静止组织之间形成较好的对比。
临床应用:主要用于脑部血管、颈部血管、下肢血管等的检查。
二、相位对比MRA(phase contrast MRA,PC MRA)
是利用流动所致的宏观横向磁化矢量(Mxy)的相位变化来抑制背景、突出血管信号的一种方法。
临床应用:较TOF法MRA应用少,主要用于:①静脉病变的检查;②心脏及大血管的血流分析;③PC方法还可用于脑脊液流速分析等。
三、对比增强MRA(contrast enhancement MRA,CE-MRA)
利用对比剂使血液的T1值明显缩短,短于人体内其他组织,然后利用
超快速且权重很重的T1WI序列来记录这种T1弛豫差别。
临床应用:
①脑部或颈部血管可作常规MRA的补充,以增加可信度,主要用于颈部和胸部动脉狭窄或闭塞、动脉瘤、血管畸形等病变的检查;
②肺动脉主要包括肺动脉栓塞和肺动静脉瘘等;对于肺动脉栓塞,CE-MRA可很好显示亚段以上血管的,对于动静脉瘘,CE-MRA可显示供血动脉和引流静脉;
③主动脉主要用于主动脉瘤、主动脉夹层、主动脉畸形等病变检查;
④肾动脉;主要用于肾动脉狭窄、动脉瘤等的检查;
⑤肠系膜血管和门静脉主要用于肠系膜血管的狭窄或血栓、门静脉高压及其侧支循环的检查;
⑥四肢血管主要用于肢体血管的狭窄、动脉瘤、血栓性脉管炎及血管畸形等病变的检查。

男性,68岁,左侧颈内动脉海绵窦段动脉瘤。T2WI(A),T1WI(B),T1WI-FS增强(C)MR图像显示:左侧颈内动脉海绵窦段(箭头所指)动脉瘤。 3D-TOFMRA可直观显示动脉瘤(箭头); 左侧颈内动脉虹吸段弥漫性狭窄。

男性,35岁,正常颅脑静脉3D-PC-MRA轴位、矢状位及冠状位MIP图像,清楚显示上、下矢状窦、直窦、横窦和乙状窦等主要颅内静脉窦及其主要属支。

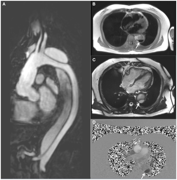
63岁,男性,胸主动脉夹层。(A)矢状位钆对比增强MRA图;(B)
黑血图;(C)TrueFISP电影图;(D)相对比图,显示降主动脉的真腔和假腔的流动模式,真腔由白色箭头指示。
Front Cardiovasc Med. 2015; 2: 5.

47岁,女性,继发性慢性血栓栓塞性肺动脉高压。CTA(a,c)和CE-MRA(b,d)MIP图显示左肺动脉中的血栓向下叶基底段延伸(白色圆圈内),右肺动脉完全闭塞(黑色箭头)。
The British Journal of Radiology, 85 (2012), 1446–1456

68岁,男性,呼吸短促,肺栓塞。右肺动脉内见柱状充盈缺损影。
J Cardiovasc Magn Reson. 2017; 19: 48.

54岁,女性,跛行,糖尿病和高胆固醇血症。右侧和左侧浅层股动脉
(箭头)和左侧胫前动脉(箭头)闭塞。
J Magn Reson Imaging. 2013 Dec;38(6):1531-8.
- 上一条:影像科新技术临床应用周刊第2季
- 下一条:影像科新技术临床应用周刊第3季
- 影像科 新技术临床应用周刊第9季 2024-01-23
- 影像科 新技术临床应用周刊第8季 2023-12-21
- 影像科 新技术临床应用周刊第8季 2023-11-13
- 影像科 新技术临床应用周刊第8季 2023-10-17
- 影像科 新技术临床应用周刊第8季 2023-09-11









