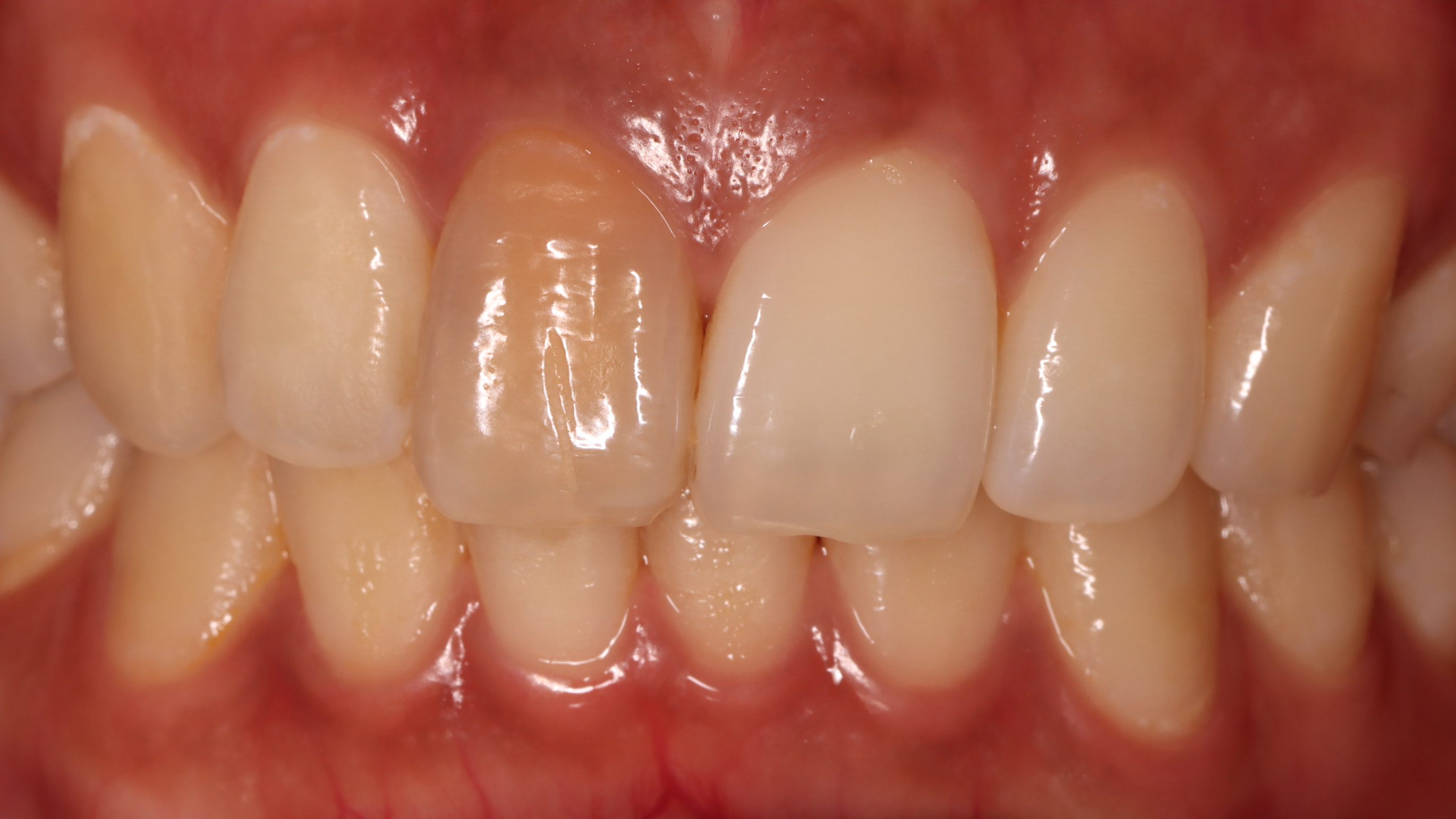
在临床上我们经常会碰到这样的患者,牙齿外形没有明显缺损,但是出现了牙齿变色,一问病史就会发现一个共同的病因-外伤。
那为什么外伤后的牙齿容易出现牙齿变色呢?
变色的牙齿应该怎么治疗呢?
牙外伤造成变色的牙齿首先需要进行完善的根管治疗,之后可以通过全瓷贴面、全瓷冠等修复方法来让变色的牙齿恢复美观,这种治疗方法的优点是可以快速的恢复牙齿的颜色,缺点是需要磨除健康的牙体组织。也可以通过在髓室放置漂白药物的方法来让牙齿恢复美观,我们把这种方法叫做内漂白技术。这种治疗技术的优点是不需要过度磨除健康的牙体组织,缺点是临床医生严格把握适应症,不是每个外伤变色的牙齿都可以通过这种方法恢复本来的颜色,而且还有复发及内吸收的风险。
总之,如果发现外伤后的牙齿出现了变色,应该及时去口腔医疗机构就诊,越早处理,牙齿恢复正常颜色的几率越大,花费的成本也越少。
- 上一条:口腔有问题,看脸就知道,这是真的吗?
- 下一条:妊娠期龈炎
- 拔完智齿后哪些事情不能做! 2025-05-28
- 牙龈出血是我们上火了吗?口腔科文星主任给大家做详细解答! 2025-04-29
- 口腔内残根残根就一定需要拔除吗? 2025-03-28
- 天天刷牙还会得牙周病吗?西安高新医院口腔科文星主任为大家详细解答这个问题 2025-02-26
- 牙本质敏感症:牙齿的 “敏感警报” 2025-01-27









