随着人们口腔卫生保健意识的增强和生活水平的提高,儿童口腔疾病越来越引起人们的重视,然而儿童对于牙科治疗的恐惧感、不合作性成为家长和临床医生最为头疼的问题,而且医生需要用水、气以及各种器械在高度敏感又空间狭小的口腔内进行,对于很多儿童来说,配合坚持完成治疗,实属不易,甚至产生牙科恐惧、心理障碍!
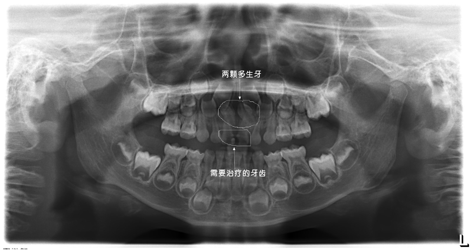
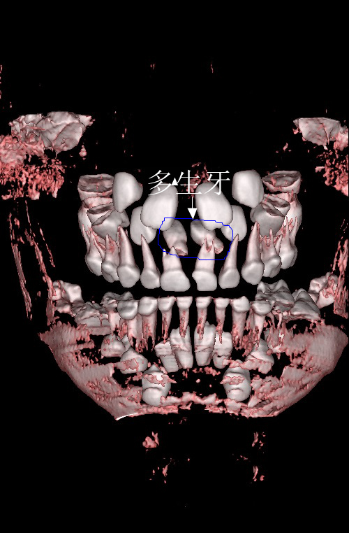
近日,一名门牙疼痛不适患儿就诊我院口腔科,临床检查发现患儿上颌两颗乳中切牙曾于外院充填治疗(补牙),其中一颗急性根尖炎(蛀牙导致牙神经坏死继而根尖发炎)导致了患儿不适。影像学检查发现乳牙根方两颗多生畸形小牙,存在于继替恒牙萌出路径上。口腔科医生首先给予主诉牙开髓引流(消炎),发现患儿极其恐惧口腔治疗,遂与患者家长充分交流沟通决定全麻下治疗两乳牙同时拔除两颗埋植于颌骨内的多生牙。
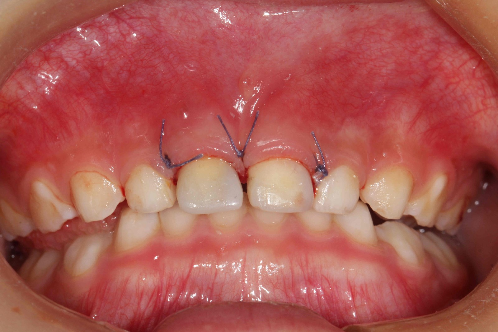
在麻醉医师精准的麻醉配合下,两颗乳牙的治疗及两颗多生牙的拔除快速高效的完成。这一切均发生在患儿“熟睡”的情况下。术毕,停药,患儿复苏,观察,回家。两颗发炎的乳牙已完成治疗并焕然一新,两颗“恼人”的多生牙已告别小主人。
这就是全麻下舒适化儿童口腔治疗,已在高新医院口腔科开展两年余。已经有好多口腔问题复杂、无法配合治疗的小朋友在这种舒适化口腔治疗后获得了一口健康的牙齿。全麻下舒适化口腔治疗根本上解除儿童牙科治疗中疼痛和恐惧对患儿身体和心理的影响;在全麻状态下,患儿配合程度高,利于医生操作从而提高治疗质量;可一次性治疗多颗牙齿,减少重复就诊的繁琐。小朋友只需美美地睡上一觉,醒来就会发现牙齿焕然一新。
全身麻醉让家长担心的可能是安全问题和术后对孩子的影响。家长大可不必担心。在实施全麻的过程中,从术前准备到最后苏醒,口腔医生、护士、麻醉医生会组成一个各司其责、密切配合的团队,保证每个环节的安全。而且,我们配备了先进的麻醉设备,可在整个手术过程中,实时动态监测各项生理指标,不仅能最大限度地保证整个手术的安全,还能实现精确自动给药,调整麻醉药的用量。手术结束,麻醉药物会逐渐代谢消失,孩子会慢慢醒来。
由心关爱,快乐看牙!




- 口腔科端午节假期工作安排 2025-05-28
- “齿韵风华杯”再传捷报!我院口腔科护理团队荣获省级科普竞赛三等奖 2025-04-18
- 健康口腔万里行——西安高新医院口腔科走进幼儿园公益活动 2025-03-20
- 西安高新医院口腔科成功举办“小小牙医体验活动” 2025-02-21
- 西安高新医院口腔科成功举办西安市继续教育项目——“牙槽骨骨增量”规范化培训班 2024-12-16









